O campión galego de Cross Pedro Nimo organiza esta carreira coa axuda dalgunhas asociacións. Os cartos recadados servirán para construir unha escola en Luanda.
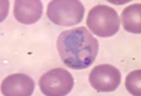
Pedro Nimo colleu a malaria na última carreira do ano en Luanda. Correndo a milla do San Silvestre na capital de Angola, ao atleta compostelán chegoulle o "mal aire" que mata, cada ano, a 200 millóns de persoas por todo o mundo.
A malaria ou paludismo é tamén a primeira causa de morte dentro das enfermidades debilitantes, e en África é unha das enfermidades máis comúns, que se colle só coa trabada dun mosquito que transporte o parásito que a orixina, o Plasmodium, do que existen máis das oitenta e cinco especies.
Dende o decembro pasado non lle deu tempo aínda a Nimo para se recuperar. Agora, mentres organiza a carreira, está nun descanso activo, é dicir, adestrando un par de horas ao día, para non parar. Durante todo o ano pasouno ben mal, porque quería seguir adestrando, pero cando lle daban os repuntes da enfermidade, tiña que se deitar a descansar, e deste xeito perdeu oportunidades de preparar as maratóns e algunhas competicións importantes, e el é dos poucos atletas que viven de correr.
Unha carreira solidaria polo medio das empresas do Tambre
O escenario da carreira Solidario con Angola vai ser o Polígono do Tambre, a minicidade empresarial que hai ás aforas de Compostela. A Nimo estalle custando bastante conseguir os apoios dos empresarios, a pesar de que os corredores –agardan xuntar unha cincocentas persoas- van camiñar, correr, esprintar e facer o que poidan arredor das empresas que alí teñen a súa sede, o que podía animar un chisco aos emprendedores composteláns, que sempre se ve mellor o nome da empresa propia nunhas cincocentas camisolas que pasan, a moreas, por diante de todas as cámaras.
Aínda que Nimo anda a poñer cartos do seu peto, tivo apoios significativos, coma uns 2.000 euros que lle chegaron da Milla de Samil, que se celebrou na semana pasada, e algunhas axudas individuais.
"Hai xente a pasar fame a menos dun quilómetro da miña casa"
Nimo leva case un ano teimando en facer algunha cousa para axudar ao pobo angolano, e daquela pensou nesta carreira, que nace con "vocación itinerante". O atleta ten a intención de que a carreira teña continuidade, que haya cada ano unha carreira solidaria en cada cidade galega, mais non só solidaria con Angola, xa que Nimo leva moitas outras causas gardadas no peto: Unicef, a Cruz Vermella, ou o Proxecto Home, onde estivo colaborando hai pouco... "Hai moitas causas que merecen axuda, e non só aló en África. Estou seguro de que hai xente a pasar fame a menos un quilómetro da miña casa".
"Correndo ou andando, aquí o importante é participar"
Na carreira, que comezará na mañá do domingo no Tambre, han participar personaxes populares coma Alejandro Gómez, Andrés Díaz, Fran, o ex xogador do Deportivo, e Arsenio Iglesias; este último pensa ir camiñando todo o percorrido, porque a cousa é estar alí, e axudar, non matarse a correr, aínda que tamén se pode.
As cantidades solidarias de apoio, que irán para Intermón, van dos tres aos euros que se queira aportar. Se non se pode aportar euro ningún, non pasa nada, porque o importante é, segundo di Nimo, ir até alá e "escoitar á xente de Intermón, mentres falan dos problemas de África e poder ver e saber do que acontece noutras partes do mundo".